
Somos especialistas en la prevención, diagnóstico y tratamiento de las lesiones orales pre-malignas y malignas. Este tipo de lesiones es importantísimo detectarlas a tiempo, para ello recomendamos revisiones periódicas de nuestros pacientes. Mediante una biopsia oral que consiste en una cirugía menor que se lleva a cabo con anestesia local, conseguimos diagnosticar muchas de este tipo de lesiones de manera precoz.
mancha o placa de color blanco, que aparece en la lengua o en las mucosas de la boca, que no se desprende al raspado y que no puede ser atribuida clínica o patológicamente a ninguna otra enfermedad.
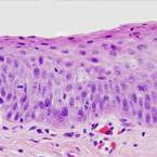
Lesión roja, aterciopelada y brillante, bien delimitada, que se extiende lentamente. Pre-maligna. El tratamiento combina un abordaje médico y quirúrgico que ha de ser cuidadosamente planificado.
España es uno de los países europeos con mayor incidencia de cancer oral. El cáncer oral tiene un buen pronóstico y puede curarse, siendo necesario para ello realizar un diagnóstico y tratamiento precoces. Existen unos signos y síntomas de alerta que deben hacernos sospechar y acudir al dentista para que haga una exploración:
El liquen plano oral es una enfermedad mucocutánea inflamatoria crónica, de piel y mucosas que evoluciona a brotes. Afecta al 0,2-1,9% de la población. De etiología desconocida. Puede manifestarse como una lesion blanca, roja o incluso coexistir ambas formas en el curso de la enfermedad. Produce dolor y escozor.
Frecuente en mujeres menopaúsicas. Su principal característica es una sintomatología urente y/o dolorosa de la mucosa bucal (principalmente en la lengua), sin hallazgos clínicos aparentes que expliquen la aparición de esta sensación. Se encuentra relacionado con una serie de factores locales y sistémicos posibles desencadenantes, por lo que se considera de etiología multifactorial. El tratamiento va dirigido a mejorar la sintomatología y controlar los factores.

